04 Nov 2024
Orthodontie - Page 11
04 Nov 2024
Le succès d’un traitement d’orthodontie dépend du diagnostic et des soins prodigués, mais également de votre coopération.
04 Nov 2024
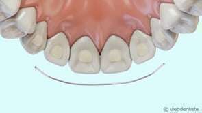
La contention permet de stabiliser les résultats de votre traitement et de conserver un bel alignement des dents.
04 Nov 2024
Un entretien quotidien permettra de conserver vos aligneurs (ou gouttières transparentes) en bon état pendant toute la durée du traitement.
04 Nov 2024
La solution DentalMonitoring® permet de suivre à distance l’évolution d’un traitement orthodontique avec une application personnalisée sur mobile.
Affichage des articles 121-132 sur 134















